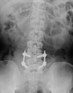
手術したら、なんでもできると言われたのに痛くて曲げられません!画像を見たDrは、治っていると言うばかり・・・・。話が違うよ〜と思っても後の祭りで、ネットでここに行きつきました。
はじめまして。森上鍼灸整骨院の吉池です。
長野県で、腰痛ベルトを使った腰痛の治療に取り組んでいます。
腰痛の手術をしたのに、腰痛が良くならないという相談をよく受けます。原因はいろいろあるのですが、動作で悪化する腰痛は腰痛ベルトで治すことができます。お医者さまが見ているMRIは静止画像ですから、動作の異常を発見できないことが結構あります。早い時期に腰痛ベルトを使ってケアしましょう。
腰痛ベルトの使い方にはコツがいります。
わからないことは、ご質問ください。

腰痛ベルト